+977-010590255
Sunday - Saturday | 9AM - 8PM
⏱️
Success Stories
Patient Success Stories
View Image
Operculectomy
Before
After
View Image
Frenectomy
Before
After
View Image
Metal Braces
Before
After
View Image
Clear Aligners
Before
After
View Image
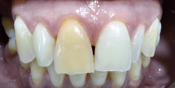
Discolored Tooth Treated with Direct Composite Veneer
Before
After
View Image
Composite filling to restore decayed tooth
Before
After
View Image
Midline Diastema Closure
Before
After